Clear Aligners and Invisalign Ascot Vale

Move Toward Your Dream Smile

Invisalign Ascot Vale

Achieving a straighter smile can be discreet and convenient, without noticeable wires or ongoing adjustments. At Future Dental Centre, our modern approach to orthodontic care includes clear aligners from recognised brands such as Invisalign, Spark, and Angel Aligners.

Designed to fit comfortably into your lifestyle while delivering precise, noticeable results, our clinically guided treatments make it possible to straighten teeth without the limitations of traditional methods. Curious about what your perfect smile with Invisalign & clear aligners could look like? Let’s talk.

Invisalign Ascot Vale

What Are Clear Aligners?

Clear aligners such as Invisalign are custom-made, transparent trays that aim to gradually move your teeth into alignment. Discreet, removable, and designed for everyday convenience, they offer a comfortable alternative to traditional braces.

Invisalign may be the best-known brand, however we also make available a thoughtfully chosen range of clear aligner options to support different treatment goals, preferences, and budgets.
Our approach is carefully tailored to the individual, with a focus on considered outcomes that support a straighter smile without unnecessary trade-offs.

Angel Aligners Ascot Vale

Our Clear Aligner Brands

We provide a carefully selected range of clear aligner brands, chosen for their focus on supporting subtle, low-profile results:

Your treatment plan is shaped around more than just tooth alignment, taking into account your preferences, daily routine, and expected timeframe. At your consultation, we’ll guide you through the available options to identify what may suit you best, including Invisalign clear aligners, Spark Aligners, or other trusted clear aligner solutions offered in Ascot Vale.

What Can Clear Aligners Address?

Clear aligners are designed for people with healthy gums and teeth who are looking to work on:

For younger patients or those with significant jaw development needs, we may recommend early intervention orthodontics such as palatal or lingual expanders, also offered at our Ascot Vale dental clinic.

Spark Aligners Ascot Vale

Your Clear Aligner Treatment Journey in Ascot Vale

Our clear aligner care in Ascot Vale is guided by a straightforward, well-structured process:

Step 1

Consultation

Your initial appointment includes a comprehensive scan and assessment. We take time to understand your goals, assess alignment and bite function, and determine whether clear aligners may suit your needs.

Step 2

Custom Treatment Plan

We use 3D digital imaging to plan your treatment and, in many cases, provide a virtual preview of the proposed changes. This allows you to view how your teeth are intended to shift, stage by stage.

Step 3

Aligner Wear

You will receive multiple aligners, with each set usually worn for one to two weeks. The aligners are removable; however regular wear of about 20 to 22 hours per day is advised to stay aligned with your treatment plan.

Step 4

Progress Reviews

Routine appointments allow us to assess how things are progressing and adjust your plan if needed.

Step 5

Retention

When your teeth have reached the planned position, we’ll supply a personalised retainer to help maintain alignment over time.

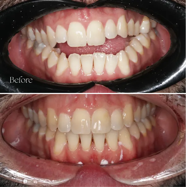
Results From Invisalign & Clear Aligners

Ascot Vale Clear Aligners

Clear Aligners Ascot Vale

Your Investment in Teeth Straightening

Our aim is to make clear aligner treatment in Ascot Vale accessible and transparent. While Medicare does not provide cover for clear aligners, some private health insurance policies include orthodontic extras that may offer support.

We also offer flexible payment plans through Humm and Fund My Dental, with up to $2,000 available to help manage your investment over time.

All fees are outlined transparently prior to commencing treatment.

nib preferred provide Moonee Ponds
HCF preferred provider Moonee Ponds
Logo of ADA
Bupa dentist Moonee Ponds
logo of smile.com.au
logo of zip money
afterpay dentist moonee ponds
medicare CDBS provider Moonee Ponds
HICAPS preferred provider Moonee Ponds
humm
logo of cohealth
SACM Provider Moonee Ponds
logo of fund my dental
logo of dental health

FAQs About Clear Aligners

How do clear aligners work?

Clear aligners are virtually invisible, custom-made, removable trays. They aim to gently move your teeth over time to help you reach your smile goals.

You will transition to a new set of aligners every few weeks as your teeth continue to shift over time.

Many individuals with mild to moderate crowding or spacing may be suitable for clear aligners. Suitability is assessed during your consultation with our team.

Treatment duration is generally between 6 and 18 months, with timing influenced by individual circumstances.

No. It’s important to maintain your oral hygiene as much as possible while on your orthodontic journey. You’ll need to remove them to eat or drink anything other than room temperature or cold water.

Book Now Contact Us