
Missing one or more teeth? Dental implants are a type of restorative dentistry that may enhance your smile, your confidence, and your ability to eat and speak with ease. At Future Dental Centre, we offer high-quality dental implant treatment in Moonee Ponds with a focus on gentle care, clear communication, and lasting results.
Whether you’ve lost a tooth recently or have been living with a missing or severely damaged tooth for a long time, we’re here to help you find the best tooth replacement option for your needs. If you’re ready to explore missing teeth treatments in Moonee Ponds, book your consultation today with our friendly, experienced implant dentists.



Most healthy adults with one or more missing teeth are suitable candidates for dental implants. Key factors include good oral hygiene, healthy gums, and sufficient bone density to support the implant. Even if you’ve been told elsewhere that implants aren’t an option, maybe due to bone loss or gum recession, we may still be able to help. A full assessment at our Moonee Ponds dental clinic will determine the best approach for you.
Every smile is different, and so is every implant treatment. At Future Dental Centre, our dedicated implant dentists in Moonee Ponds offer practical options for missing teeth replacement. Depending on your case, this could include:
Whether you’re replacing a single missing tooth or several, dental implants aim to offer a stable, natural-looking result. We design each restoration to match the shape and shade of your existing teeth, aiming to improve both function and appearance.
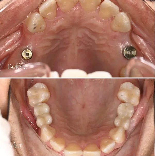
For those seeking a more comprehensive treatment, we offer full arch implant restorations, including All-on-4, All-on-6, and All-on-10. These advanced techniques are generally ideal for patients with multiple missing teeth or ill-fitting dentures.
If you’ve experienced significant upper jawbone loss and have been told implants aren’t an option, zygomatic implants may be an option for you. These longer implants anchor into the cheekbone, bypassing areas of diminished bone density, and may eliminate the need for a bone graft entirely.
Dental bone grafting, also known as gum grafting, aims to help rebuild the jaw and prepare the area for future implants. This treatment is often particularly helpful in cases of severe gum recession or bone shrinkage, supporting both strength and support for lasting implant success.
At Future Dental Centre, we believe that a healthy smile starts with trust and understanding. Our dental implant journey is designed with you in mind: clear, personalised, and paced to put your comfort and satisfaction first.
Step 1
Your dental implant journey starts with a thorough consultation, where we assess your oral health and discuss whether implants may be right for you. Using our in-house digital scanner and OPG, we capture precise 3D images of your mouth, allowing our experienced implant dentists to plan your treatment accurately and efficiently, all without the need to travel elsewhere to get your scans done.
Step 2
If you're suitable for dental implants, we'll explain the procedure, benefits, things to know before committing to dental implants, costs, and payment options. We also encourage you to ask as many questions as you need to make an informed decision. If you decide to proceed with the treatment, we will then put together a detailed and personalised treatment plan. If a dental implant isn't the right treatment for your circumstances, we'll recommend alternative options.
Step 3
In your next appointment, the implant, which is a small, biocompatible titanium post, is surgically placed into the jawbone by making a small incision in your gums. This procedure is typically carried out under local anaesthetic, with your comfort as our top priority throughout. Most patients are surprised at how smooth and straightforward this step feels.
Step 4
After your surgical implant placement, we will equip you with post-operative instructions and prescriptions for a smoother and faster recovery. Over the next few months (typically three to six), your implant should integrate naturally with your jawbone, a process known as osseointegration. This aims to create a strong and stable foundation for your new tooth. During this time, we'll provide ongoing support and may fit a temporary dental crown, so you're never without a smile.
Step 5
Once your implant has fully integrated with your jawbone, we'll take detailed impressions to design your bespoke dental crown. This final restoration is meticulously crafted to match your natural teeth in shape, shade, and size, supporting a beautifully seamless result. A small connector, known as an abutment, is used to attach the crown securely to the implant beneath the gum line. The result should be a tooth that looks, feels, and functions just like a natural, healthy tooth.
Step 6
Dental implants may last for years or even a lifetime with proper at-home care and routine professional maintenance. To help with longevity and proper functioning, we will set up routine follow-up appointments to monitor your implant's health. If you ever have questions or concerns with your dental implant, we are always a phone call away, ready to support you so you may continue enjoying the things you love.
By choosing Future Dental Centre for your dental implants, you may rest knowing that you are in highly experienced hands. Our team never compromises when it comes to the quality of our treatments or the materials we use.
While Medicare doesn’t typically cover implant treatment, we offer a range of options to make affordable dental implants more accessible. Future Dental Centre is a preferred provider for HCF, nib, and smile.com.au, and accepts SACM and all major health funds via HICAPS. We also honour Cohealth, Monash vouchers, VDES, and VDGS, with flexible payment plans available through Humm and Fund My Dental (up to $2,000).




If you’re living with missing teeth, you already know it’s more than a cosmetic concern. Chewing becomes difficult. Speech can change. And it’s easy to feel self-conscious when you smile. Now more than ever, it’s time to invest in your smile. Book your consultation today with our implant dentist, conveniently located in Moonee Ponds, and discover a better option for replacing one or more missing teeth.
Dental implants are a permanent treatment for replacing missing teeth. A small titanium post is placed into the jawbone to act as a tooth root, and once recovered, a crown, bridge, or denture is attached on top. At Future Dental Centre, our dental implant treatment is carefully planned using advanced imaging in an effort to maintain precision and comfort.
Dental implant costs can vary depending on the number of implants needed and the type of restoration. At Future Dental Centre, we provide upfront quotes with no hidden fees. We also offer flexible payment plans, accept all major health funds, and are preferred providers for HCF, nib, and smile.com.au.
Most patients are surprised by how comfortable the procedure is. With options like ‘happy gas’, IV sedation, or general anaesthetic for complex cases, we aim to make sure your experience is as smooth and stress-free as possible. Our Moonee Ponds implant dentists are known for their gentle and thorough approach.
We also offer general dentistry, orthodontics, and cosmetic dentistry, such as teeth whitening and veneers. No matter the service you need, we want to help.
For personalised care, contact us to schedule your visit.